арутюнова
стоматолог-ортодонт
Заведующая ортодонтическим отделением в стоматологии
на Арбате
ЗАВЕДУЮЩАЯ ОТДЕЛЕНИЕМ В КЛИНИКЕ НА АРБАТЕ
Более 500 пациентов на сегодняшний день на этапе ортодонтического лечения

Сама лечу себя на элайнерах

Сертифицированный врач Invisalign , Spark, 3d-Smile, Star Smile, Flexiligner

Занимаюсь сплинт-терапией по философии Face

ВЫПУСКНИЦА ТВЕРСКОЙ ГОСУДАРСТВЕННОЙ МЕДИЦИНСКОЙ АКАДЕМИИ



Листайте влево, чтобы увидеть больше
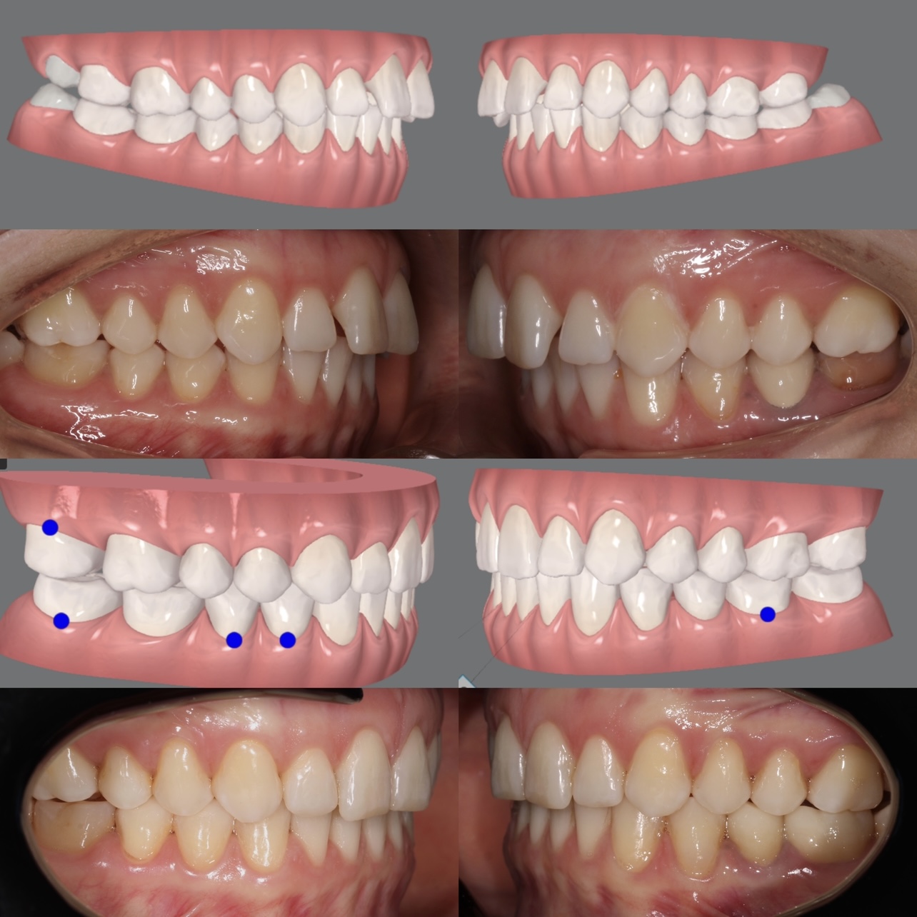
Диагноз: дистальный прикус, глубокий прикус, ретрузия резцов (наклон внутрь)
Лечение: на элайнерах
План лечения: расширение, дистализация на верхнем зубном ряду (верхние зубы двигаются назад), интрузия нижних фронтальных зубов для исправления глубины прикуса
Окончание: рекомендована ортопедическая реабилитация зуба 4.6
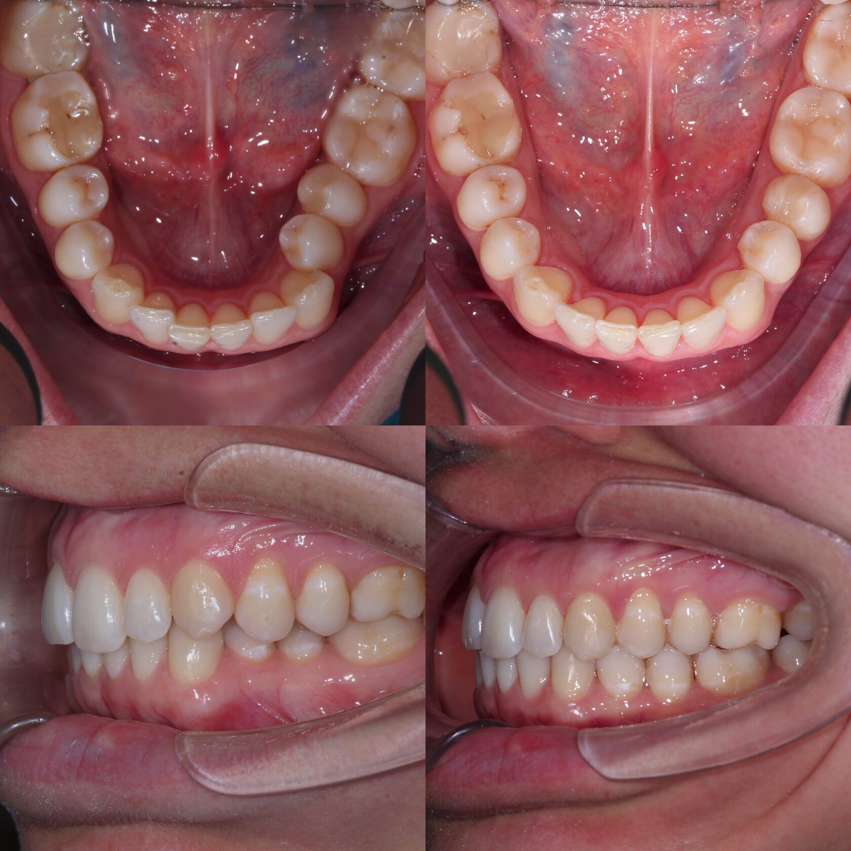
Диагноз: дистальный прикус, сужение зубных рядов
Лечение: на элайнерах
План лечения: удаление зубов мудрости, расширение, дистализация (движения верхних зубов назад)
Окончание: замена несостоятельных коронок в боковом сегменте, несъемные ретейнеры на фронтальные зубы, ночные ретенционные каппы
Диагноз: скученность, сужение зубных рядов
Лечение: на элайнерах (40 элайнеров)
План лечения: расширение , выравнивание.
Окончание: несъемные ретейнеры, ночные ретенционные каппы
Диагноз: дистальный прикус
Лечение: на элайнерах
План лечения: двухэтапный (1 этап- расширение, выравнивание; 2 этап - дистализация - движение верхних зубов назад для нормализации окклюзии)
Окончание: несъемные ретейнеры на фронтальные зубы, ночные удерживающие каппы
Диагноз: глубокий прикус, скученность
Лечение: лигатурные брекеты
План лечения: расширение, выравнивание, интрузия нижних фронтальных зубов, экструзия нижних боковых зубов
Окончание: виниры на верхние фронтальные зубы (с клыка по клык), несъемные ретейнеры на фронтальные зубы, ночные ретенционные каппы
Диагноз: перекрестный прикус слева, глубокий прикус
Лечение: на элайнерах
План лечения: расширение, выравнивание, устранение перекрестного смыкания слева путем расширения нижней зубной дуги
Окончание: замена несостоятельных пломб
Диагноз: глубокий прикус
Лечение : на элайнерах
План лечения: расширение, выравнивание, интрузия фронтальных зубов для коррекции глубины прикуса, коррекция арки улыбки
Окончание: отбеливание, несъемные ретейнеры, ночные ретенционные каппы
Диагноз: обратное перекрытие в области бокового резца
Лечение: на элайнерах
План лечения: расширение, выравнивание, устранение перекрестного смыкания во фронтальном сегменте
Окончание: отбеливание, несъемные ретейнеры, ночные ретенционные каппы
Диагноз: дистальный прикус, скученность, сужение зубных рядов
Лечение: на элайнерах
План лечения: удаление зубов мудрости, дистализация верхнего зубного ряда, создание места для устранения скученности во фронтальном сегменте
Окончание: композитная реставрация центральных резцов, несъемные ретейнеры на фронтальные зубы, ночные ретенционные каппы
Диагноз: тремы, диастемы
Лечение: на элайнерах (52 элайнера)
План лечения: закрытие всех промежутков
Окончание: несъемные ретейнеры, ночные каппы ретенционные
Диагноз: глубокий прикус , скученность
Лечение: на элайнерах
План лечения: расширение, выращивание, интрузия фронтальных зубов, выравнивание фронтальных зубов по деснеыому контору
Окончание: рекомендована реставрация бокового резца (зуб 2.2)
Диагноз: дистальный прикус, тремы (промежутки между зубами)
Лечение: на элайнерах
План лечения: дистализация верхних зубов (движение назад), мезиализация нижних зубов (движения вперед), устранение скученности
Окончание: отбеливание , замена несостоятельных пломб и коронок
Диагноз: скученность, вестибулоположение зуба 4.3, обратное перекрытие в области зуба 1.2.
Лечение: элайнеры (60 пар)
План лечения: расширение, выравнивание, дистализация (движение зубов назад)
Окончание: коррекция десневого контура хирургическим путем в области верхних фронтальных зубов
Металлические брекеты
Диагноз: скученность
План лечения: расширение, выравнивание
Окончание: реставрация фронтальных зубов , несъемные ретейнеры, съемные ночные каппы
Глубокий прикус
ПОХОЖИЙ СЛУЧАЙ?
Запишись на бесплатную консультацию и я разберу именно твой запрос!
Снятие слепков

Диагностика

3D -моделирование плана лечения

Изготовление элайнеров

Все плановые посещения
Снятие слепков

Диагностика

Разработка плана лечения

Фиксация брекет-системы

Все плановые посещения
Листайте влево, чтобы увидеть больше